Cases
インプラント 症例一覧
インプラント症例一覧
当院で施術をされた方の症例写真をご紹介します。
症例の説明、費用、副作用/リスクなどをご覧いただけます。当院で施術をお考えの方はぜひご参考にしてください。
-
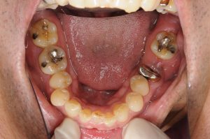
全額にわたる歯周病で噛めない 50代男性
詳細はこちら施術名 全額歯周病の方へのインプラント治療 施術の説明 50代男性の方で歯が揺れて噛めないとのことで来院されました。すべての歯が歯周病のため抜歯が必要であったため、抜歯後即時に仮歯で噛めるように治療し、最終的にセラミックで修復しました。 施術の副作用
(リスク)考えられるリスク、副作用:インプラント手術後は反応性の出血、腫れ、あざがでる場合がありますが時間経過とともに治ります。喫煙、糖尿病、加齢、清掃不良などに伴いインプラント周囲の骨に炎症が起こり、再治療が必要になる場合があります。治療後10年以内であれば無償で再治療を行います。(被せ物については5年間の保証があります)10年保証を受けるには当院にて年2回以上のメンテナンスが必要になります。(メンテナンスはインプラント治療に関わらず、一般的にご自身の歯の場合でも必要であると思われます。) 施術の価格 治療費総額:4800000円(税込) -
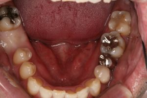
奥歯が歯根破折で噛めない 50代男性
詳細はこちら施術名 歯根破折した奥歯をインプラントで修復 施術の説明 奥歯が噛む力に負けて折れてしまった部位にインプラントで噛めるように治療しました。 施術の副作用
(リスク)考えられるリスク、副作用:インプラント手術後は反応性の出血、腫れ、あざがでる場合がありますが時間経過とともに治ります。喫煙、糖尿病、加齢、清掃不良などに伴いインプラント周囲の骨に炎症が起こり、再治療が必要になる場合があります。治療後10年以内であれば無償で再治療を行います。(被せ物については5年間の保証があります)10年保証を受けるには当院にて年2回以上のメンテナンスが必要になります。(メンテナンスはインプラント治療に関わらず、一般的にご自身の歯の場合でも必要であると思われます。) 施術の価格 インプラント1歯あたりの治療費:374000円(税込)(10年保証込) 骨が薄く造成が必要な場合は追加費用がかかります。骨造成:50,000円
治療費総額:1210000円(税込) -
交通事故による歯の喪失 20代男性
詳細はこちら施術名 歯根破折した部位へのインプラント埋入 施術の説明 交通事故で歯が抜けてしまった方へのインプラント処置。インプラント体を2本埋入しセラミック修復した症例です。 施術の副作用
(リスク)考えられるリスク、副作用:インプラント手術後は反応性の出血、腫れ、あざがでる場合がありますが時間経過とともに治ります。喫煙、糖尿病、加齢、清掃不良などに伴いインプラント周囲の骨に炎症が起こり、再治療が必要になる場合があります。治療後10年以内であれば無償で再治療を行います。(被せ物については5年間の保証があります)10年保証を受けるには当院にて年2回以上のメンテナンスが必要になります。(メンテナンスはインプラント治療に関わらず、一般的にご自身の歯の場合でも必要であると思われます。) 施術の価格 インプラント1歯あたりの治療費:374000円(税込)(10年保証込) 骨が薄く造成が必要な場合は追加費用がかかります。骨造成:50,000円
治療費総額:836000円(税込) -
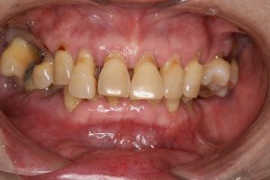
全額にわたる歯周病の方へのインプラント処置 50代女性
詳細はこちら施術名 全額にわたる歯周病の方へのインプラント処置 施術の説明 歯周病によって奥歯を抜歯が必要な方でした。前歯が前突しており、部分矯正も併用して見た目も改善しました
治療期間は1年6ヶ月でした施術の副作用
(リスク)考えられるリスク、副作用:インプラント手術後は反応性の出血、腫れ、あざがでる場合がありますが時間経過とともに治ります。喫煙、糖尿病、加齢、清掃不良などに伴いインプラント周囲の骨に炎症が起こり、再治療が必要になる場合があります。治療後10年以内であれば無償で再治療を行います。(被せ物については5年間の保証があります)10年保証を受けるには当院にて年2回以上のメンテナンスが必要になります。(メンテナンスはインプラント治療に関わらず、一般的にご自身の歯の場合でも必要であると思われます。) 施術の価格 インプラント1歯あたりの治療費:374000円(税込)(10年保証込) 骨が薄く造成が必要な場合は追加費用がかかります。骨造成:50,000円
部分矯正300000円(税込)、セラミッククラウン80000円(税抜)
総額 4836000円(税込) -
下の奥歯 インプラント(1本) 50代男性
詳細はこちら施術名 下顎 インプラント埋入(1本) 施術の説明 左下の奥歯が歯根破折を起こして抜歯になってしまいました。インプラントを一本埋入歯、骨造成も併用しました 施術の副作用
(リスク)考えられるリスク、副作用:インプラント手術後は反応性の出血、腫れ、あざがでる場合がありますが時間経過とともに治ります。喫煙、糖尿病、加齢、清掃不良などに伴いインプラント周囲の骨に炎症が起こり、再治療が必要になる場合があります。治療後10年以内であれば無償で再治療を行います。(被せ物については5年間の保証があります)10年保証を受けるには当院にて年2回以上のメンテナンスが必要になります。(メンテナンスはインプラント治療に関わらず、一般的にご自身の歯の場合でも必要であると思われます。) 施術の価格 インプラント1歯あたりの治療費:374000円(税込)(10年保証込) 骨が薄く造成が必要な場合は追加費用がかかります。骨造成:50,000円 -
下の奥歯のインプラント(1本) 30代男性
詳細はこちら施術名 下の奥歯のインプラント(1本) 30代男性 施術の説明 右下の奥歯を虫歯で抜歯してそのまま放置してしまった方でした。インプラントを一本埋入しました。治療期間は3ヶ月です。 施術の副作用
(リスク)考えられるリスク、副作用:インプラント手術後は反応性の出血、腫れ、あざがでる場合がありますが時間経過とともに治ります。喫煙、糖尿病、加齢、清掃不良などに伴いインプラント周囲の骨に炎症が起こり、再治療が必要になる場合があります。治療後10年以内であれば無償で再治療を行います。(被せ物については5年間の保証があります)10年保証を受けるには当院にて年2回以上のメンテナンスが必要になります。(メンテナンスはインプラント治療に関わらず、一般的にご自身の歯の場合でも必要であると思われます。) 施術の価格 インプラント1歯あたりの治療費:374000円(税込)(10年保証込) 骨が薄く造成が必要な場合は追加費用がかかります。骨造成:50,000円
