優しさと確かな技術で、
笑顔をつくる歯医者さん
Gentle Dental Care, Confident Smiles
Gentle Dental Care, Confident Smiles
Professional Care, Comfortable Treatment
Clear Communication, Confident Smiles
Relaxation Meets Professional Care
新規の患者様のご予約を開始いたしました。(令和7年8月より)
現在ホームページからのみですが、新規の方のご予約を受付再開しました。(お電話でのご予約はお断りしております)
透明で目立たない矯正だから、
誰にも気づかれずに美しい笑顔へ。
当院では、透明で快適なマウスピース矯正『インビザライン』を用いた矯正治療をご提供しています。
広島県福山市や府中市にお住まいで、目立たず痛みの少ない矯正治療をお考えの方は、ぜひご相談ください。
インビザラインなら、目立つことなく自然な笑顔と美しい歯並びを手に入れることができます。
当院は安心の総額治療費制度を導入しています
インビザライン・120回払い・デンタルローンを利用した場合
最先端のデジタル技術と専門知識を活かし、失った歯の機能を取り戻します。
さくら歯科クリニックでは、失った歯を自然な見た目と快適な機能で補うインプラント治療を提供しています。
最新の3Dスキャン技術を活用し、患者様一人ひとりに最適な治療計画を提案。
手術は経験豊富なインプラント専門医が担当し、痛みを最小限に抑えた精密な技術で行います。
治療後も定期的なメンテナンスとサポートで、インプラントの長期的な成功を支えます。
お子さまの成長段階に合わせた矯正治療をご提供します。
小児矯正は、早い段階で始めることで、歯並びに影響を与える生活習慣の改善が可能です。
お子さまの歯が「ガタガタしている」「出っ歯かもしれない」などのお悩みがありましたら、ぜひご相談ください。
成長期に治療を開始することで、顎の発達を正しい方向に導き、抜歯のリスクや治療後の後戻りを最小限に抑えることができます。
お子さまの将来の健康な歯並びのために、早めの対応をおすすめします!
広島県府中市のさくら歯科クリニックでは、虫歯や歯周病の治療をはじめ、
予防歯科や矯正歯科、審美歯科、インプラントなど、幅広い診療を行っています。
最新の設備と技術を活用し、一人ひとりに最適な治療をご提案。お子様からご高齢の方まで、安心して通える歯科医療をご提供します。
Implants
失った歯をどうにかしたい
Orthodontics
歯並びをきれいにしたい
Microscope
マイクロスコープによる精密な治療
CEREC
短期間で被せ物を終わらせたい
General
歯が痛い・虫歯を治したい
Pediatric
子どもの歯を守りたい
Prevention
虫歯や口臭を予防したい
Dentures
自分にあった入れ歯がほしい
Periodontal
歯茎が腫れる・歯がぐらぐらする
Aesthetic
歯の色を白くしたい
Wisdom Teeth
親知らずをなんとかしたい
Maternal
妊娠中・授乳中でも受診したい
さくら歯科クリニックが大切にしている6つのこだわり
当院では、地域の皆様の「かかりつけ歯科医」として、
一人ひとりの患者様に寄り添い、生涯にわたる口腔健康をサポートすることを目指しています。
幅広い診療内容と最先端の技術で、すべての世代が安心して通える歯科医院づくりに努めています。
府中市の皆様の「かかりつけ歯科医」として、一般歯科から矯正歯科、インプラントまで幅広い診療内容を提供し、あらゆる世代に対応しています。
最新の医療技術と設備を導入し、患者様に最高の治療を提供する環境を整えています。
患者様の負担を最小限に抑えた治療を目指し、痛みを軽減する技術と丁寧な対応を実現しています。
歯周病の専門的な治療を行い、患者様の歯の健康を守るために最適なケアを提供しています。
お子様が安心して通える歯科医院として、優しい治療と予防プログラムを提供しています。
定期検診やクリーニングを通じて、将来の健康な歯を守ります。 正しいセルフケアをサポートし、むし歯や歯周病を未然に防ぎます。
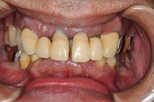
| 施術名 | 全額にわたる歯周病の方へのインプラント処置 |
|---|---|
| 施術の説明 | 歯周病によって奥歯を抜歯が必要な方でした。前歯が前突しており、部分矯正も併用して見た目も改善しました 治療期間は1年6ヶ月でした |
| 施術の副作用 (リスク) |
考えられるリスク、副作用:インプラント手術後は反応性の出血、腫れ、あざがでる場合がありますが時間経過とともに治ります。喫煙、糖尿病、加齢、清掃不良などに伴いインプラント周囲の骨に炎症が起こり、再治療が必要になる場合があります。治療後10年以内であれば無償で再治療を行います。(被せ物については5年間の保証があります)10年保証を受けるには当院にて年2回以上のメンテナンスが必要になります。(メンテナンスはインプラント治療に関わらず、一般的にご自身の歯の場合でも必要であると思われます。) |
| 施術の価格 | インプラント1歯あたりの治療費:374000円(税込)(10年保証込) 骨が薄く造成が必要な場合は追加費用がかかります。骨造成:50,000円 部分矯正300000円(税込)、セラミッククラウン80000円(税抜) 総額 4836000円(税込) |
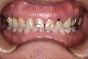
| 施術名 | 下顎 インプラント埋入(1本) |
|---|---|
| 施術の説明 | 左下の奥歯が歯根破折を起こして抜歯になってしまいました。インプラントを一本埋入歯、骨造成も併用しました |
| 施術の副作用 (リスク) |
考えられるリスク、副作用:インプラント手術後は反応性の出血、腫れ、あざがでる場合がありますが時間経過とともに治ります。喫煙、糖尿病、加齢、清掃不良などに伴いインプラント周囲の骨に炎症が起こり、再治療が必要になる場合があります。治療後10年以内であれば無償で再治療を行います。(被せ物については5年間の保証があります)10年保証を受けるには当院にて年2回以上のメンテナンスが必要になります。(メンテナンスはインプラント治療に関わらず、一般的にご自身の歯の場合でも必要であると思われます。) |
| 施術の価格 | インプラント1歯あたりの治療費:374000円(税込)(10年保証込) 骨が薄く造成が必要な場合は追加費用がかかります。骨造成:50,000円 |
| 施術名 | 下の奥歯のインプラント(1本) 30代男性 |
|---|---|
| 施術の説明 | 右下の奥歯を虫歯で抜歯してそのまま放置してしまった方でした。インプラントを一本埋入しました。治療期間は3ヶ月です。 |
| 施術の副作用 (リスク) |
考えられるリスク、副作用:インプラント手術後は反応性の出血、腫れ、あざがでる場合がありますが時間経過とともに治ります。喫煙、糖尿病、加齢、清掃不良などに伴いインプラント周囲の骨に炎症が起こり、再治療が必要になる場合があります。治療後10年以内であれば無償で再治療を行います。(被せ物については5年間の保証があります)10年保証を受けるには当院にて年2回以上のメンテナンスが必要になります。(メンテナンスはインプラント治療に関わらず、一般的にご自身の歯の場合でも必要であると思われます。) |
| 施術の価格 | インプラント1歯あたりの治療費:374000円(税込)(10年保証込) 骨が薄く造成が必要な場合は追加費用がかかります。骨造成:50,000円 |

広島県府中市の中心部に位置するさくら歯科クリニックは、地域の皆様の口腔健康を守る総合歯科医療施設です。
府中市の歯科医療の中心として、最新の設備と技術を駆使し、患者様一人ひとりのニーズに合わせた丁寧な診療を提供しています。当クリニックは、一般歯科治療はもちろん、小児歯科、歯周病治療、インプラント、矯正歯科など、幅広い歯科サービスを展開しており、府中市の方々の様々な歯の悩みに対応しています。
さくら歯科クリニックの特徴は、最新のデジタル技術を活用した精密な診断と治療にあります。3DデジタルレントゲンやCAD/CAMシステムを導入し、より正確で効率的な治療を実現しています。また、府中市の子どもたちの歯の健康を守るため、学校歯科検診にも積極的に参加し、地域の歯科教育にも力を入れています。
広島県府中市の高齢者の方々にも配慮し、訪問歯科診療も行っています。自宅や施設での診療が必要な方々に、府中市内どこへでも訪問し、質の高い歯科ケアを提供しています。さらに、府中市の企業や団体と連携し、定期的な歯科検診や口腔ケア講座を開催するなど、地域全体の口腔衛生向上にも貢献しています。
さくら歯科クリニックは、府中市の皆様に寄り添う「かかりつけ歯科医」を目指しています。定期健診から緊急治療まで、幅広いニーズに対応し、患者様の生涯にわたる口腔健康をサポートします。広島県府中市で信頼できる歯科医院をお探しの方は、ぜひさくら歯科クリニックにお越しください。笑顔あふれる健康的な生活のために、当クリニックが府中市の皆様の歯と口腔の健康を守ります。
ご予約・ご相談はこちらからお受けしております。
お気軽にお問い合わせください。